Facebook
Pinterest
Belleza
Bienestar
Consejos
Perder Peso
Recetas
Remedios
Buscar
Registrarse
¡Bienvenido! Ingresa en tu cuenta
tu nombre de usuario
tu contraseña
¿Olvidaste tu contraseña? consigue ayuda
Recuperación de contraseña
Recupera tu contraseña
tu correo electrónico
Se te ha enviado una contraseña por correo electrónico.
Estilo con Salud
Belleza
Bienestar
Consejos
Perder Peso
Recetas
Remedios
Descubre cual es el secreto de los japoneses para tener un hermoso cutis
Estos son los beneficios que el jugo de apio te brinda
Infórmate sobre la hernia discal
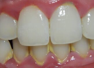
¿Que es el sarro y como puedes eliminarlo?
Jugos de frutas y vegetales
¿Cuales son los síntomas que indican que estas deshidratado?
Consejos que te ayudar mantener la presión arterial estable
Consejos para que el cabello crezca más rápido
¿Sufres de hipo constantemente? Aprende a como detenerlo
Consejos para reparar uñas quebradizas
1
...
46
47
48
...
91
Página 47 de 91