Facebook
Pinterest
Belleza
Bienestar
Consejos
Perder Peso
Recetas
Remedios
Buscar
Registrarse
¡Bienvenido! Ingresa en tu cuenta
tu nombre de usuario
tu contraseña
¿Olvidaste tu contraseña? consigue ayuda
Recuperación de contraseña
Recupera tu contraseña
tu correo electrónico
Se te ha enviado una contraseña por correo electrónico.
Estilo con Salud
Belleza
Bienestar
Consejos
Perder Peso
Recetas
Remedios
Mascarillas exfoliantes naturales
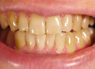
¿Por qué los dientes se tornan amarillos?
¿Por qué salen las canas?
Licuados para fortalecer la memoria
Remedios naturales para mejorar la digestión
Jarabe de zanahoria para combatir el resfriado común
Sube el libido con tu alimentación
Alimentos que ayudan a depurar el organismo
Lo que necesidas de saber acerca del Virus del Papiloma Humano
¿Sabes que es el síndrome de la luna de miel?
1
...
59
60
61
...
91
Página 60 de 91