Facebook Pinterest
  • Belleza
  • Bienestar
  • Consejos
  • Perder Peso
  • Recetas
  • Remedios
Buscar
Registrarse
¡Bienvenido! Ingresa en tu cuenta
¿Olvidaste tu contraseña? consigue ayuda
Recuperación de contraseña
Recupera tu contraseña
Se te ha enviado una contraseña por correo electrónico.

Estilo con Salud

  • Belleza
  • Bienestar
  • Consejos
  • Perder Peso
  • Recetas
  • Remedios
caminar

Caminar regenera el cerebro, alivia la tristeza y el estrés

Vello corporal

En pocos minutos, quite el vello de la axila no deseado permanentemente, el vello no deseado nunca volverá a crecer

arrugas

Quita las arrugas de tu boca y rostro en pocos días con huevo

batata

La batata es el tubérculo que combate la gastritis, reflujo, ardor de estómago, e incluso ulceras

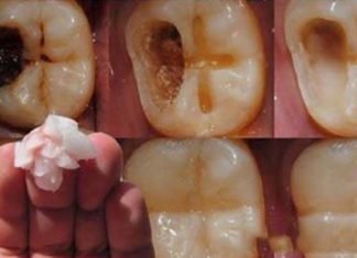
caries

Guárdalo antes de que lo borren, los dentistas no quieren que sepas que esto quita las caries sin dolor

ángel

7 señales de que tu ángel guardián quiere comunicarse contigo

padre e hija

Padre e hija conquistan la red con su fabuloso disfraz de Thanos y Gamora

abuela

Anciana ve por primera vez a su tataranieto y el momento hace llorar Internet

arrugas

Mi tía me enseñó a preparar mi propia crema casera para combatir las arrugas y los puntos negros

azúcar

10 signos que aparecen cuando el nivel de azúcar en la sangre es muy alto y como reconocerlos

1...717273...91Página 72 de 91
SOBRE NOSOTROS
Una vida saludable y con estilo es mejor...
SÍGUENOS
Facebook Pinterest
  • Configuracion de Privacidad
  • Políticas De Privacidad & Cookies
  • CONTACTO Y UBICACIÓN
Estilo con Salud Copyright © 2024