Facebook Pinterest
  • Belleza
  • Bienestar
  • Consejos
  • Perder Peso
  • Recetas
  • Remedios
Buscar
Registrarse
¡Bienvenido! Ingresa en tu cuenta
¿Olvidaste tu contraseña? consigue ayuda
Recuperación de contraseña
Recupera tu contraseña
Se te ha enviado una contraseña por correo electrónico.

Estilo con Salud

  • Belleza
  • Bienestar
  • Consejos
  • Perder Peso
  • Recetas
  • Remedios

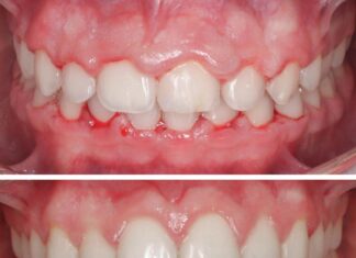
Hiperplasia o agrandamiento gingival

Neumotórax ¿Qué es?

Epidermólisis bullosa o piel de cristal

¿Cuáles son los tratamientos que se utilizan para el meningioma?

¿Qué es la diabulimia?

¿Qué es la sadorexia?

¿Qué es la tortícolis y cuales son sus causas?

La permarexia y sus causas

5 beneficios de la melatonina

Vello púbico ¿Qué debes de saber sobre el?

1...383940...91Página 39 de 91
SOBRE NOSOTROS
Una vida saludable y con estilo es mejor...
SÍGUENOS
Facebook Pinterest
  • Configuracion de Privacidad
  • Políticas De Privacidad & Cookies
  • CONTACTO Y UBICACIÓN
Estilo con Salud Copyright © 2024